Surgery & Implants
What Are Dental Implants?
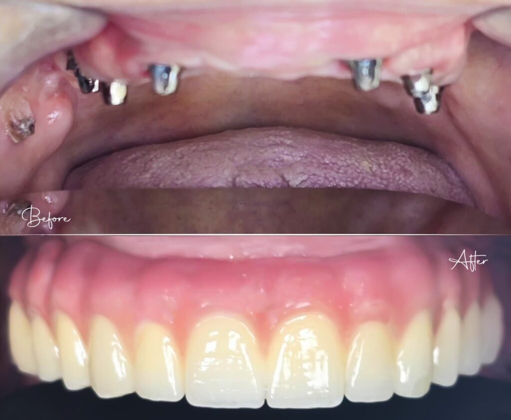
Dental implants are permanent solutions that replace missing or damaged teeth using a titanium screw anchored in the jawbone. It functions and feels just like a natural tooth and lasts for decades with proper care.

Our Implant & Surgery Services Include:
Tooth Extraction (simple & surgical)
Bone Grafting & Sinus Lifts
Single or Multiple Dental Implants
All-on-4 / All-on-6 Full Mouth Implants
Surgical Placement with 3D Planning
Post-implant crowns, bridges, or dentures

Why Choose Us for Implants?
Advanced technology (3D digital imaging, guided surgery)
High-quality Swiss & German implants
Expert oral surgeons and implantologists
Minimal pain and downtime
Personalized treatment plans
Beautiful natural-looking results

Smile Makeovers with Implants
We believe implants are more than medical they’re part of your new smile. Our team specializes in full smile makeovers that boost both your appearance and confidence, combining implantology with cosmetic dentistry for life-changing transformations.

FAQ – Dental Implants & Surgery
Book Your Appointment
Ready for your next dental exam or X-ray? Call Ortho Smile Clinic or Book Online today to keep your smile healthy, bright, and confident.
